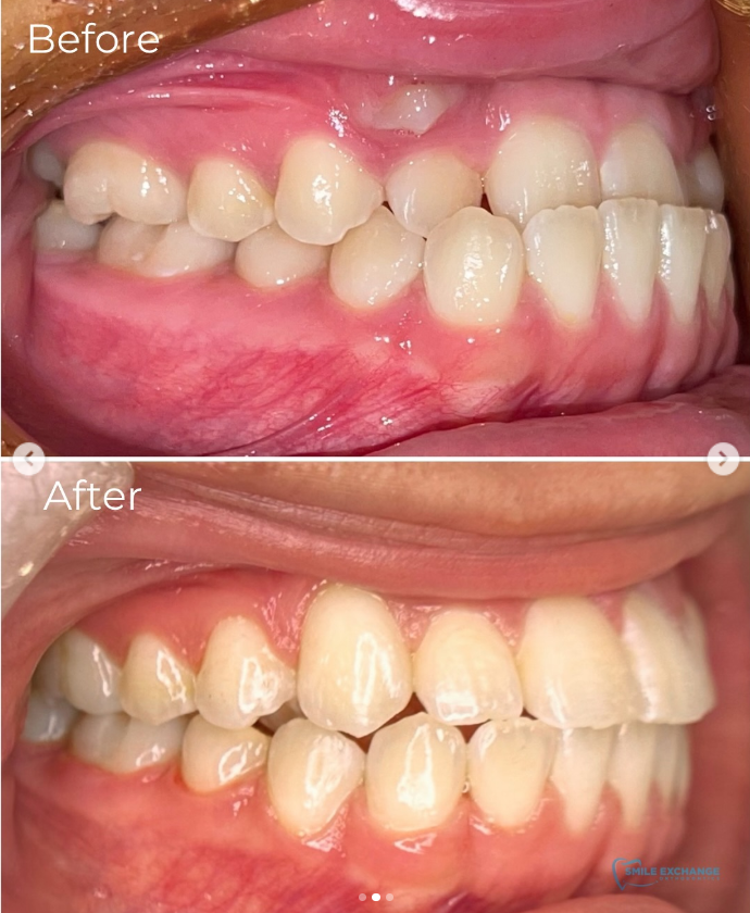
Smile Exchange Orthodontics - Dr. Raffi Partamian
|
100%
4 Votes
|
| Description: | I am so fortunate to be an Orthodontist and create beautiful smiles for a living. As a teenager, I was always self-conscious and would never smile due to my crooked teeth but undergoing the process of getting braces was absolutely life-changing. The transformation of myself-image and confidence was undeniable and so, it ultimately led me to a career in orthodontics. I wanted to make the same impact for others as my orthodontist made for me! Now, I am committed to providing a healthy, beautiful, and positive experience for my patients that is bound to last a lifetime. |
| Working Days: |
sun
mon
tue
wed
thu
fri
sat
- Open - Close |
| Share This Page: |



